
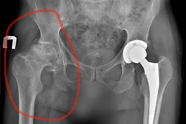
Деформирующий артроз тазобедренного сустава- очень распространенная патология в современном мире. Одной из причин его развития является асептический некроз головки бедренной кости. При разрушении хрящей костей, образующих тазобедренный сустав теряется его функция и человек утрачивает возможность правильно ходить, развивается цепь компенсаторных паттернов движения, которые, если они существуют долго, приводят к развитию других заболеваний, например, остеохондрозу поясничного отдела позвоночника или артрозу крестцово-подвздошного сустава
Кстати, в современном «постковидном» мире количество асептических некрозов головки бедренной кости значительно возросло. И многие специалисты определяют прямую связь между перенесенным ковидом и развитием через 1-3 года некроза головки бедра.
Если у Вас установлен диагноз коксартроза 3-4 стадии, есть нарушение нормальной функции тазобедренного сустава и снижено качество Вашей жизни, то решением проблемы является замена тазобедренного сустава.
Эта операция заключается в удалении пораженных частей тазобедренного сустава - головки бедра и суставной впадины, и установки искусственных качественных компонентов с идеально подобранными характеристиками. При правильной установке компонентов искусственного сустава человек получает возможность БЕЗболезненного движения в течение длительного времени
В нашем клиническом центре операции по замене тазобедренного сустава в травматологическом отделении выполняются регулярно. Мы производим их как по срочным показаниям - при переломах шейки бедренной кости, так и в плановом порядке - при коксартрозах.
Сама процедура госпитализации в наше отделение несложна. Я приведу ее алгоритм, который поможет Вам сориентироваться. Кстати, лист ожидания на госпитализацию в наше отделение составляет не более 1-2 месяцев
Итак, если у Вас есть проблема в области тазобедренного сустава, есть рентгеновский снимок с подтверждением развития коксартроза 3-4 стадии, необходимо, чтобы наблюдающий Вас врач поликлиники направил в отдел госпитализации Мурманского областного клинического многопрофильного центра (МОКМЦ) заявку на плановую госпитализацию. В ответ на заявку будет указана дата госпитализации, которая, как я указывал выше , не превышает 1-2 месяцев.

Друзья, если эта проблема настигла Ваш сустав, хирургическая замена его - эффективный метод лечения. В нашем отделении мы поможем Вам с решением этой проблемы.
Здоровья Вам и Вашим близким!
Версия для слабовидящих




